Осложнения катетерной аблации фибрилляции предсердий и способы их профилактики
Аннотация
Интервенционное лечение одного из самых распространенных нарушений ритма сердца — фибрилляции предсердий заключается в проведении различных методов аблации, возможности которой в последние годы расширяются за счет того, что кроме уже ставших классическими термических воздействий на миокард (радиочастотная или криоаблация) доступно использование электромагнитного поля (электропорации). Проведение оперативного лечения любого вида сопряжено с определенным риском возникновения различных осложнений, часть которых свойственна в большей степени классическим методикам, другая часть — новым; спектр возможных осложнений, список исследований на данную тему обширны, что требует дальнейшего изучения с целью лучшего понимания проблемы и лечения пациентов в клинической практике. В обзоре приведены основные типы возможных осложнений, ассоциированных с аблацией фибрилляции предсердий, и проведен анализ данных актуальных крупных исследований.
Ввиду высокой распространенности фибрилляции предсердий (ФП), социального, научного, экономического развития, растет и количество оперативных вмешательств для ее лечения [1]. Раннее проведение катетерной аблации приводит к хорошим результатам в поддержании синусового ритма, улучшению качества жизни пациента и снижению нагрузки на систему здравоохранения. При этом ожидаемо встречается определенный уровень осложнений (табл. 1). Целью обзора является описание наиболее часто встречающихся осложнений, обобщение имеющихся данных по указанной тематике и определение перспектив лечения с учетом современных подходов к лечению ФП.
Таблица 1
Вероятность возникновения осложнений
|
Название исследования |
Год публикации |
Годы исследования |
Вид аблации |
Количество центров наблюдения/статей |
Тип исследования |
Количество участников |
Крупные осложнения, % |
Малые осложнения, % |
Сосудистые осложнения |
Пневмоторакс, % |
Крупное кровотечение, % |
Гемоперикард/тампонада |
Повреждение пищевода, % |
ОНМК, % |
ТИА, % |
Гемолиз, % |
Стеноз ЛВ, % |
Повреждение диафрагмального нерва, % |
Гипомотильность желудка, % |
Спазм коронарных артерий, % |
Смертность, % |
||||
|
Всего, % |
Всего, % |
Предсердно-пищеводная фистула |
Любое |
||||||||||||||||||||||
|
Псевдоаневризма |
Артериовенозная фистула |
Перикардиоцентез |
Стернотомия |
Транзиторное |
Стойкое |
||||||||||||||||||||
|
Gupta, et al. [74] |
2013 |
2001-2012 |
РЧА |
192 |
метаанализ |
83236 |
2,6 |
1,4 |
0,15 |
1,7 |
0,4 |
0,4 |
0,4 |
0,2 |
0,06 |
||||||||||
|
0,5 |
0,4 |
||||||||||||||||||||||||
|
Providência, et al. [75] |
2019 |
2014-2015 |
РЧА и КБА |
7 |
обсервационное |
2497 |
2,6 |
0,7 |
0,2 |
0,1 |
1,5 |
0,1 |
|||||||||||||
|
Benali, et al. [2] |
2023 |
2013-2017 |
РЧА и КБА |
89 |
метаанализ |
15701 |
3,08 |
2,23 |
1,53 |
0,98 |
0,04 |
0,21 |
0,07 |
0,06 |
|||||||||||
|
2018-2022 |
1,87 |
1,9 |
1,11 |
0,62 |
0,17 |
||||||||||||||||||||
|
Kusano, et al. [47] |
2025 |
2023 |
РЧА и КБА |
549 |
проспективно |
102584 |
0,76 |
0,47 |
0,11 |
0,13 |
0,32 |
0,09 |
0,06 |
||||||||||||
|
MANIFEST-PF [76] |
2022 |
2021 |
ЭП |
24 |
ретроспективно |
1758 |
1,6 |
3,86 |
3,51 |
0,39 |
0,11 |
0,46 |
0,06 |
0,06 |
|||||||||||
|
MANIFEST-17K [69] |
2024 |
2022-2023 |
ЭП |
106 |
ретроспективно |
17642 |
0,98 |
3,21 |
0,3 |
0,36 |
0,04 |
0,12 |
0,03 |
0,06 |
0,14 |
0,03 |
|||||||||
|
EU-PORIA [77] |
2023 |
2021-2022 |
ЭП |
7 |
ретроспективно |
1233 |
1,7 |
1,9 |
1,1 |
0,41 |
0,16 |
0,32 |
0,08 |
||||||||||||
|
Jackel, et al. [78] |
2025 |
2013-2021 |
КБА |
114 |
ретроспективно |
184616 |
1,35 |
1,3 |
0,13 |
1,15 |
0,27 |
||||||||||||||
|
1,03 |
0,12 |
||||||||||||||||||||||||
|
РЧА |
321 |
118984 |
0,79 |
0,5 |
0,09 |
0,55 |
0,26 |
||||||||||||||||||
|
0,5 |
0,05 |
||||||||||||||||||||||||
|
Eckardt, et al. [15] |
2023 |
2005-2025 |
РЧА |
4 |
ретроспективно |
30361 |
1,1 |
0,22 |
0,67 |
0,16 |
0,04 |
||||||||||||||
|
POTTER-AF [32] |
2023 |
1996-2022 |
РЧА |
214 |
ретроспективно |
553729 |
0,038 |
||||||||||||||||||
|
КБА |
0,0015 |
||||||||||||||||||||||||
|
YET I [38] |
2022 |
2012-2019 |
КБА |
33 |
ретроспективно |
17356 |
4,2 |
0,1 |
|||||||||||||||||
|
Friedman, et al. [15] |
2020 |
2013-2017 |
РЧА и КБА |
Medicare* |
ретроспективно |
102398 |
0,61 |
||||||||||||||||||
|
NCDR [79] |
2025 |
2019-2022 |
РЧА и КБА |
186 |
проспективно |
70296 |
1,0 |
1,19 |
0,406 |
0,1 |
0,4 |
0,11 |
0,1 |
0,003 |
|||||||||||
|
0,1 |
0,006 |
0,3 |
0,1 |
0,1 |
0,02 |
||||||||||||||||||||
Примечание: * — Centers for Medicare & Medicaid Services, Балтимор, Мэрилэнд, США.
Сокращения: КБА — криобаллонная аблация, ЛВ — легочные вены, ОНМК — острое нарушение мозгового кровообращения, РЧА — радиочастотная катетерная аблация, ТИА — транзиторная ишемическая атака, ЭП — электропорация.
Повреждение магистральных сосудов. Гематомы мягких тканей, забрюшинного пространства
Сосудистые осложнения являются наиболее частыми серьезными осложнениями катетерной аблации при ФП и включают возникновение гематомы мягких тканей бедра, забрюшинные гематомы, псевдоаневризмы сосудов, артериовенозные фистулы. Частота их возникновения находится в пределах от 1 до 4% [2][3]. Большинство указанных осложнений можно лечить консервативно или компрессионным методом (путем осуществления мануального гемостаза, в т.ч. посредством ультразвукового датчика с последующим наложением давящей повязки на 6-12 ч или инъекцией тромбина [4]), а контроль достигается посредством ультразвуковых методов диагностики. Однако в случае серьезной кровопотери может потребоваться переливание крови и/или проведения хирургического открытого или чрескожного пособия. Частота возникновения осложнений может быть связана с опытом оператора, количеством и размером используемых интродьюсеров, использованием дополнительного артериального доступа в процессе лечения и антикоагулянтной терапией [5]. При подготовке пациента к операции возможно применение тактики непрерывной терапии антикоагулянтами без перевода на низкомолекулярный гепарин. Рандомизированные исследования не выявили повышенного риска сосудистых осложнений при проведении непрерывной терапии пероральными антикоагулянтами по сравнению с непрерывным применением антагонистов витамина К [6].
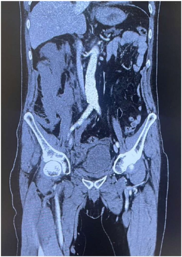
Профилактика осложнений определяется методикой доступа к бедренной вене, а также использованием вспомогательных средств визуализации сосудов. При использовании низкого доступа (>2 см ниже паховой связки) к бедренной вене могут быть повреждены ветви бедренной артерии (a. pudenda ext.), проходящие поверх бедренной вены, что может привести к серьезному интраоперационному кровотечению, образованию псевдоаневризмы и гематоме. С другой стороны, при применении высокого доступа (непосредственно под паховой связкой) повышаются риски забрюшинного кровотечения и гематомы (рис. 1). Применение ультразвукового контроля значимо понижает риски повреждения сосудов при проведении радиочастотной катетерной аблации (РЧА) ФП [7].

Рис. 1. КТ-картина крупной забрюшинной гематомы справа у пациента после радиочастотной изоляции ЛВ.
Стеноз и окклюзия сосудов сердца
Стенозирование сосудов в процессе оперативного лечения может касаться как легочных вен (ЛВ), так и коронарных артерий; определяется сужением сосуда на <50% (незначительный), умеренный (50-70%), серьезный (>70%) вследствие нанесенного воздействия и в случае стеноза ЛВ может проявить себя на 8-12 нед. после операции [8]. Указанное осложнение возникает ввиду термического повреждения ткани сосуда, прогрессирующей сосудистой реакцией и замещения коллагеном поврежденного миокарда [9]. Также его возникновение находится в прямой зависимости от методики оперативного лечения (дистального нанесения воздействий при циркулярной изоляции ЛВ), а также количества аппликаций. К типичным потенциально возможным областям, в которых возможно повреждение коронарных артерий, можно отнести: латеральная поверхность сердца эпикардиально, вены сердца, основание ушка левого предсердия (ЛП), митральный истмус или септальная поверхность верхней полой вены (с возможностью повреждения в т.ч. артерии синусового узла с вероятностью до 0,09% как при РЧА, так и при криобаллонной аблации (КБА) ФП [10][11] и развитии клинически значимой брадикардии [12]) (рис. 2). В случае необходимости нанесения аппликаций эпикардиально для уточнения точной анатомии коронарных сосудов рекомендовано предварительное выполнение коронарографии. При повреждении коронарных сосудов возникают типичные признаки острой ишемии миокарда, фибрилляция желудочков и остановка сердечной деятельности, что требует немедленной реваскуляризации миокарда [13]. При соблюдении техники безопасности во время оперативного вмешательства частота поражения коронарных артерий при РЧА или КБА ФП крайне редка. Встречаемость же стеноза ЛВ более распространена: в ранних исследованиях сообщалось о вероятности до 38% [14]. С эволюцией подходов к лечению ФП наблюдается и значимое его снижение до 0,05% [3]. В случае незначительного стенозирования ЛВ чаще протекает асимптомно. В случае более серьезного поражения сосуда может протекать с более частым возникновением пневмонии у пациента, кашлем, одышкой, а также гемоптизом. Проведение компьютерной томографии (КТ) грудной клетки с контрастированием сердца и сосудов поможет верифицировать диагноз, а для лечения методом выбора является баллонная ангиопластика и стентирование целевого сосуда (рис. 3). В случае окклюзии ЛВ может наблюдаться компенсаторная дилатация ипсилатеральных ЛВ.

Рис. 2. Варианты отхождения артерии синусового узла.
Примечание: повреждение артерии наиболее вероятно в области верхней трети межпредсердной перегородки, верхней части левого предсердия, области ушка правого предсердия, дистально в коронарном синусе.
Сокращения: ЛКС — левый коронарный синус, ПКС — правый коронарный синус, НКС — некоронарный синус. LCx — левая огибающая артерия, LAD — передняя межжелудочковая артерия, RCA — правая коронарная артерия.

Рис. 3. Пациент 43 лет.
Примечание: в течение года после проведенной РЧА ипсилатеральных ЛВ описывает кашель, одышку, а также многократное возникновение пневмонии, требовавшей проведения антибактериальной терапии. A — данные КТ, стрелкой показаны пораженные сосуды: окклюзия верхнедолевого ствола ЛВ, стеноз среднедолевого ствола ЛВ (50%) справа. И этапы интервенционного лечения: B — контрастирование сосудов и сердца до проведения ангиопластики; C — ангиопластика верхнедолевого ствола правой ЛВ; D — конечный результат операции после проведенного стентирования ЛВ.
Сокращения: КТ — компьютерная томография, ЛВ — легочные вены, РЧА — радиочастотная катетерная аблация.
Повреждение стенки сердца, аорты и ЛВ. Гемоперикард
Повреждение стенки сердца и, как следствие, гемоперикард — наиболее частое жизнеугрожающее осложнение при аблации ФП. Недавние крупные метаанализы докладывает среднюю встречаемости данного осложнения порядка 0,7-0,8% на настоящий момент, констатируя тренд постепенного снижения числа этого грозного осложнения, что может быть связано как с ростом опыта, так и с усовершенствованием технического обеспечения оперативного пособия [15]. В НМИЦ им. В. А. Алмазова также отмечается явная тенденция к снижению частоты встречаемости данного осложнения: если на момент 2019г количество составляло 10 случаев на 1000 пациентов, то к 2024г уже наблюдалось двукратное его снижение. К предрасполагающим факторам можно отнести повреждение стенки сердца и проникновение инструмента в перикардиальное пространство или корень аорты при выполнении транссептальной пункции (при этом риск возникновения осложнения увеличивается при использовании >1 транссептального доступа), перегрев ткани при проведении аблации и возникновение явления, известного как «steam pop», нанесение множественных аблаций, а также чрезмерная интраоперационная гипокоагуляция, а также отказ от использования внутрисердечной эхокардиографии (ЭхоКГ) [16]. Предшествующие операции на сердце в большинстве случае предохраняют его от возникновения данного осложнения при проведении РЧА ввиду развития выраженного спаечного процесса в перикардиальной полости. В случае возникновения острого повреждения с одномоментным излитием значительного количества крови в полость перикарда кроме стремительного снижения уровня артериального давления, возможно возникновение синоатриальной и/или атриовентрикулярной блокады, остановки сердечной деятельности и электромеханической диссоциации. В ином случае медленное накопление жидкости можно обнаружить в течение нескольких часов после выполнения оперативного вмешательства при проведении ЭхоКГ (и обнаружении жидкости, превышающей физиологичный объем в 15-50 мл), проведение субксифоидальной пункции перикарда для ее эвакуации (которая служит методом выбора при лечении большинства случаев гемоперикарда) может не потребоваться. Следует учитывать, что скопление значимого количества жидкости в полости перикарда, а также лечебные манипуляции являются фактором риска возникновения асептического и констриктивного перикардита [17][18]. Золотым стандартом определения количества жидкости в полости перикарда является ЭхоКГ, однако проведение диагностики также возможно методом рентгенографии интраоперационно, как правило, при скоплении значительного количества жидкости в перикардиальной полости (рис. 4). После успешного выполнения пункции перикарда и его дренирования, в случае продолжения накопления жидкости может потребоваться проведение открытого хирургического вмешательства для ушивания дефекта сердца. При проведении аблации, манипуляция инструментом создает предпосылки к повреждению не только сердца, но и ЛВ. Описаны случаи их повреждения при манипуляции инструментом на фоне проведения КБА с развитием жизнеугрожающего гемоптиза (кровохарканья), потребовавшего селективной интубации левого легкого, баллонирования скомпрометированного бронха для остановки кровотечения и в последующем резекции нижней доли правого легкого [19].

Рис. 4. Гемоперикард в ходе катетерной аблации. Определяется «двойной контур» сердца, свидетельствующий о наличии жидкости в полости перикарда.
Повреждение клапанного аппарата сердца
Возникновение данного осложнения возможно в результате защемления катетера клапанами сердца и относится к редким и опасным осложнениям аблации ФП. Чаще встречается при манипуляциях диагностическими катетерами, такими как циркулярный многополюсный электрод с целью его установки в левые ЛВ. В случае возникновения значимого сопротивления важно не применять силу для высвобождения электрода, т.к. это может привести к травме клапанного аппарата и даже отрыву папиллярных мышц, и потребовать открытого хирургического лечения [20][21], а также к отлому кончика катетера, что также требует его удаления эндоваскулярным способом посредством петли, либо открытой операции [22]. При подозрении на это осложнение важно подтвердить диагноз с помощью ЭхоКГ. Одним из вариантов высвобождения электрода является введение высокой дозы аденозинтрифосфата для того, чтобы вызвать полную атриовентрикулярную блокаду или применить высокочастотную стимуляцию желудочков, тем самым снимая напряжение на митральном клапане для высвобождения кончика катетера [23]. Чтобы предотвратить это осложнение, следует с особой осторожностью манипулировать диагностическими катетерами вблизи митрального клапана. Кроме того, стоит придерживаться особой бдительности при манипуляциях катетером вблизи механических протезов ввиду повышенного риска их защемления. В случае с диагностическим катетером для высокоплотного картирования камер сердца PENTARAY (Biosense Webster — подразделение Johnson & Johnson MedTech, США), наличие механического протеза картируемой камеры сердца определено прямым противопоказанием к использованию непосредственно производителем устройства. В случае защемления многополюсного электрода механическим клапаном, чрезмерное давление увеличивает риск его механического повреждения, для его высвобождения может быть применена техника проведения аблационного электрода через управляемый интродьюсер непосредственно к заклинившей створке митрального клапана с целью создания давления на нее и высвобождения катетера [24].
Синдром жёсткого ЛП
Впервые описанный после операции на митральном клапане, синдром жёсткого ЛП признан редким осложнением катетерной аблации ЛП и обычно возникает после проведения множественных аблаций, особенно у пациентов с уже имеющимися фиброзными изменениями миокарда после перенесенного воспалительного и/или инфекционного процесса, что подтверждается ЭхоКГ исследованиями [25][26]. Осложнение проявляется признаками перегрузки правых камер сердца, включая легочную гипертензию, повышением давления в ЛП. В качестве медикаментозной терапии описано применение диуретиков, а в случае отсутствия эффекта — силденафила [27][28].
Повреждение пищевода
Термическое повреждение пищевода радиочастотной энергией и образование предсердно-пищеводной фистулы является одним из наиболее опасных и часто фатальных осложнений аблации ФП. Анатомическое расположение пищевода вариабельно, но ~70% всех случаев он расположен ближе к левым ЛВ; также особенности топографии пищевода могут зависеть от индивидуальных особенностей пациента и сопутствующих заболеваний (грыжа пищеводного отверстия диафрагмы и др.). Пищевод является подвижной структурой, его положение относительно ЛП может меняться во время и после проведения оперативного вмешательства и смещаться вбок до нескольких сантиметров. Помимо расстояния между пищеводом и задней стенкой ЛП, еще одним анатомическим фактором, влияющим на вероятность термического повреждения пищевода, является наличие перикардиальных жировых отложений вокруг каждой ЛВ, которые могут защищать от повреждений пищевод во время аблации. Движение пищевода может быть ограничено структурами средостения (аорта, позвоночник), что может способствовать повреждению пищевода во время аблации. Воздействие радиочастотным током на артериолы, кровоснабжающие пищевод, ухудшает приток крови к пораженной ткани, что вызывает изъязвления пищевода, часто бессимптомные и встречающееся от 3 до 10% всех случаев изоляции ЛВ и зависит от мощности подаваемого радиочастотного тока [29-31]. Изъязвления могут прогрессировать в течение нескольких недель до предсердно-пищеводной фистулы (в среднем от 18 до 21 дня). В случае возникновения последней, вероятность летального исхода приближается к 80%. В крупном регистре POTTER-AF (553729 процедур) частота возникновения предсердно-пищеводных фистул составила порядка 0,025%. При этом частота возникновения значительно различалась между включенными медицинскими центрами (от 0,007% до 0,4%), что может указывать на высокую значимость применяемой техники проведения катетерной аблации [32].
Повреждения пищевода наблюдаются в большей степени после РЧА, хотя описаны редкие случаи возникновения данного осложнения и после проведения КБА ФП (0,038% при РЧА, 0,0015% при КБА) [33]. Симптоматика может включать дисфагию, загрудинные боли, кровохарканье, лихорадку, судороги, общемозговую симптоматику при быстром прогрессировании. Учитывая, что формирование предсердно-пищеводной фистулы, как правило, занимает десятки дней, проведение эзофагоскопии может быть оправдано у пациентов на раннем этапе (рис. 5), в ином случае ее выполнение строго противопоказано, т.к. инсуффляция газа при проведении исследования влечет за собой его попадание в большой круг кровообращения; в ходе диагностики должна быть выполнена КТ органов грудной клетки с контрастированием сосудов. Профилактика осложнения достигается интраоперационным применением термических датчиков, проточно-промывных систем для охлаждения пищевода в процессе аблации и ограничением количества подаваемых аппликаций.

Рис. 5. Фиброэзофагоскопия пациентки 46 лет.
Примечание: слева — изъязвление пищевода, выявленное на 3-и сутки после РЧА. Справа — контрольное исследование на 5‑е сутки лечения, включавшее в себя диету с ограничением жесткой пищи, назначение гастропротекторной терапии, антибактериальных препаратов.
Сокращение: РЧА — радиочастотная катетерная аблация.
Повреждение диафрагмального нерва
Парез или паралич диафрагмального нерва (ДН), проходящего кпереди от правых ЛВ, по свободной стенке правого предсердия, возникает в результате прямого его повреждения чаще в процессе КБА [34], но также описаны случаи его возникновения и при проведении РЧА ФП: при изоляции верхней полой вены (чаще), антральной изоляции ЛВ [35]. При парезе ДН, т.е. частичной утрате его функции, симптоматика ограничивается затрудненным дыханием, кашлем, ограничением подвижности диафрагмы, тогда как при его параличе происходит полная утрата произвольных движений мышцы, клиническая картина расширяется значимым чувством нехватки воздуха, удушьем. Также повышается риск возникновения пневмонии. Частота интраоперационного поражения ДН может достигать 13,5% прооперированных пациентов методом КБА [36]. В абсолютном большинстве случаев поражается правый ДН, поскольку он проходит в непосредственной близости от правых, в особенности от правой верхней ЛВ, в связи с чем повреждение ДН при воздействии в ней составляет >80% от всех зарегистрированных событий [37][38]. Повреждение левого ДН происходит крайне редко (0,3%), т.к. дистанция от него до левых ЛВ составляет 7-10 мм и чаще сопряжено с воздействиями в области ушка ЛП.
В большинстве случаев повреждение ДН является транзиторным и разрешается еще до окончания операции [39]. В иных случая восстановление функции ДН занимает от нескольких недель до 12 мес. (до 97%) [38], в редких случаях до 2 лет [40]. Хроническое поражение (паралич) ДН наблюдается у 0,1% пациентов. Рентгенологически наблюдается высокое стояние купола диафрагмы (рис. 6), быстрая диагностика также возможна путем проведения ультразвуковых методов диагностики.

Рис. 6. Рентгенологическая картина при возникшем парезе ДН после КБА в правой верхней ЛВ. Обращает на себя внимание высокое стояние правого купола диафрагмы. При наблюдении отмечается отсутствие спонтанных движений диафрагмы.
Профилактика осложнения достигается методиками непрерывного мониторинга функции ДН путем его стимуляции из подключичной или верхней полой вены в процессе аппликации, проведением различных вариантов диафрагмальной электромиографии и измерением амплитуды измеренных потенциалов (уменьшение амплитуды миопотенциала на 30%) [41][42], пальпацией живота во время процедуры, использованием баллона подходящего размера, без заведения его дистально в сосуд — проведением антральной изоляции ЛВ, избегать нанесения излишнего количества аппликаций [43].
У пациентов с выраженной симптоматикой физиотерапия межреберных и лестничных мышц может улучшить дыхание. Пациентам с параличом ДН может быть показано хирургическое лечение методом диафрагмальной пликации.
Пневмоторакс
Относится к серьезным, но достаточно редким осложнениям интервенционного лечения ФП. Связано это с возможностью использования бедренного доступа в качестве альтернативного для позиционирования диагностического катетера, таким образом использование подключичного доступа в клинической практике сводится к минимуму. В случае же предпочтительности использования подключичного доступа по любым причинам (технические трудности при пункции бедренных вен, нестабильность положения диагностического электрода в коронарном синусе, скудная выраженность периферических вен и др.) частота возникновения пневмоторакса составит 0,5-6,6% [44, 45]. Вероятность находится в прямой зависимости от опыта оператора, использования вспомогательных средств визуализации (рентгенография, ультразвуковые средства диагностики), экстренности выполнения процедуры. Очевидными альтернативами подключичному доступу с минимальными рисками возникновения данного осложнения являются яремный и подмышечный, однако при их использовании сохраняются риски ранения артериальных сосудов с возникновением кровотечения и/или клинически значимых гематом.
Гемоторакс
Относится к редким, но потенциально грозным осложнениям и встречается до 0,02% случаев в крупных исследованиях. В литературе встречаются упоминания в связи с повреждением подключичной, внутренней грудной, правой восьмой межреберной артерии [46]. Диагностика осуществляется методом рентгенологического, ультразвукового, лечение, как правило, консервативное, в ряде случаев требуется проведение пункции плевральной полости для эвакуации жидкости.
Тромбоэмболические осложнения. Острое нарушение мозгового кровообращения
Тромбоэмболические осложнения относятся к значимым осложнениям аблации ФП, в большинстве своем представляя собой нарушения мозгового кровообращения. Частота их возникновения составляет 0,14-0,5% всех случаев оперативного лечения и чаще возникают в течение суток после процедуры [47][48]. Однако различными исследованиями было доказано, что 1,7-38% поражений головного мозга в послеоперационном периоде может протекать бессимптомно [49]. В основе тромбоэмболических осложнений лежит образование тромбов, нагара на интродьюсерах или электроде или попадание воздуха в сердце через транссептальные интродьюсеры, как правило, ввиду нарушения техники их промывания при замене или удалении инструмента с возникновением воздушной эмболии. Наиболее часто происходит миграция воздуха в правую коронарную артерию с возникновением транзиторных признаков острой ишемии миокарда, нарушениями генерации/проведения электрических импульсов, изредка отмечается остановка сердечной деятельности, электромеханическая диссоциация. При развитии воздушной эмболии с поражением головного мозга наблюдается очаговая, общемозговая симптоматика. В таком случае быстрое придание пациенту положения Тренделенбурга, проведение инфузионной, оксигенотерапии, направленной на максимизацию перфузии головного мозга, позволит значимо увеличить скорость абсорбции азота из попавшего в кровеносное русло воздуха. Соблюдение правил предоперационной подготовки пациента, антикоагуляции, гепаринизация до проведения транссептальной пункции [50], поддержание активированного частичного тромбопластинового времени в пределах целевых значений (300-400 сек), соблюдение техники безопасности во время оперативного лечения, интраоперационное промывание интродьюсеров снижает риски данных осложнений [51]. Недавний крупный метаанализ показал наличие взаимосвязи между щелевидным левосторонним дефектом межпредсердной перегородки (отсутствием сращения первичной и вторичной межпредсердной перегородки) и возникновением острого нарушения мозгового кровообращения (ОНМК) [52] ввиду возможности образования в имеющемся дефекте тромбов, что увеличивает настороженность при проведении чреспищеводного ЭхоКГ исследования перед операцией и может повлечь за собой откладывание процедуры [53]. В противном случае смещение тромба при манипуляциях инструментами или при проведении электроимпульсной терапии с высокой долей вероятности влечет за собой возникновение ОНМК и необходимость применения чрескожных вмешательств на головном мозге — проведения тромбэкстракции. Применение коротких аппликаций высокой мощности >70 Вт, увеличивает частоту возникновения немых инсультов [54].
Гипомоторика желудка. Гастропарез. Пилороспазм
Гипомоторика желудка, а также гастропарез (расстройство, характеризующееся задержкой опорожнения желудка при отсутствии для этого механических причин) может возникнуть при аблации ФП до 17,3% случаев, чаще при КБА ФП и возникает из-за повреждения переднего пищеводного сплетения в большей степени при воздействиях в области нижних ЛВ. Хотя впервые данное осложнение было описано еще в 2005г [55], на сегодня оно является одним из наиболее недооцененных. Установлено, что расстояние между пищеводом и правой нижней ЛВ <18,2 мм (что может быть выявлено при проведении КТ органов грудной клетки перед операцией) является предиктором нарушения моторики желудка после проведения аблации ФП [56][57]. Клиническая картина включает в себя: эпизодические боли в животе, вздутие живота, тошноту, рвоту, возникающие преимущественно в течение 24 ч после операции. Время восстановления, как правило, занимает от 2 нед. до 3 мес. Диагностика включает в себя проведение фиброгастроскопии, рентгеноскопии с бариевым раствором, КТ органов брюшной полости (для оценки количества остаточной пищи в желудке).
Лечение зависит от выраженности симптоматики и в первую очередь предполагает модификацию диеты: малые порции обезжиренной пищи с низким содержанием клетчатки. Медикаментозное лечение предусматривает назначение препаратов, улучшающих моторику желудка и противорвотных препаратов (метоклопрамид). Обосновано применение прокинетиков нового поколения, в частности агонистов рецепторов 5-HT 4 (прукалоприд, наронаприд и др.) [58]; следует учесть, что некоторые прокинетики, к примеру антагонисты дофаминовых рецепторов (домперидон), могут обладать проаритмогенным эффектом в виде удлинения интервала QT >60 мс и должны назначаться с осторожностью [59]. В более поздних работах встречается описание эффектов эритромицина, который также может быть эффективен в лечении данного осложнения [60]. У пациентов с преобладающим пилороспазмом в качестве вариантов лечения предлагаются интрапилорические инъекции ботулотоксина или различные виды хирургических вмешательств на привратнике желудка [61].
Электропорация — новый метод катетерной аблации
Применение электропорации определяет новый этап в лечении ФП, предполагающий применение нетермического метода нанесения воздействия. Электропорация предполагает нанесение сверхчастых (микро- или наносекунды) электрических импульсов для генерации электрического поля, вызывающего образование пор в мембране кардиомиоцитов с последующим некрозом клеток. Применение данной технологии может помочь избежать части серьезных осложнений в лечении ФП. Определено, что осложнения могут быть ассоциированы как с доступом и манипуляциями инструментом (гемоперикард, тампонада сердца), так и непосредственно с применением электропорации (спазм коронарных артерий, ОНМК, гемолиз). Первыми, в т.ч. многоцентровыми, исследованиями на данную тему (MANIFEST-PF, IMPULSE, PEFCAT и др.) не было выявлено признаков повреждения пищевода, стеноза ЛВ, паралича ДН. При дальнейших наблюдениях выясняется, что хотя некоторые многоцентровые исследования (MANIFEST-17K) не описывают ранее упомянутых осложнений, другие все же выявляют случаи возникновения стойкого повреждения ДН [62]; электропорация также способна вызывать повреждение пищевода, не носящее трансмуральный характер и обычно разрешающееся к 14 дням после воздействия [63]. Более серьезным вопросом является воздействие на коронарные сосуды. При применении электропорации в непосредственной близости от коронарных артерий, как это было показано в экспериментах «in vivo«, приводит к необратимому фиброзу медии сосуда [64], что может потенциально ограничивать ее применение при эпикардиальных аблациях. На настоящем этапе в клинической практике электропорация используется эндокардиально, при этом доказанным является возможность возникновения значимого спазма коронарных сосудов на фоне аблации, которое может сохраняться в течение нескольких месяцев после операции, а также угрожать развитием хронического стеноза пораженного сосуда [65]. Частота возникновения осложнений, ассоциированных с поражением коронарных сосудов, в несколько раз выше при проведении электропорации, чем при традиционных методах аблации, но в большей степени зависит от того, дополняется ли классическая изоляция ЛВ воздействиями в митральном, кавотрикуспидальном истмусах или иных областях, где есть риск повреждения артерии. Если в сравнительном исследовании от 2025г приводятся данные о повреждении коронарных сосудов при электропорации в 5,8%, 0,6% при РЧА [66], то в уже упомянутом крупном исследовании MANIFEST-17K указывается на 0,14% событий, что сравнимо с большинством предшествовавших исследований РЧА (0,04-0,6%) и КБА (0,17-0,34%) ФП [10][67-69]. При возникновении признаков спазма коронарных сосудов эффективным является применение нитроглицерина [70].
Острое повреждение почек. Гемолиз
Нарушение функции почек при проведении РЧА или КБА встречается редко и в большей степени ассоциировано с применением контрастного вещества, особенно у пациентов с уже имеющейся патологией почек, однако при выполнении электропорации данное осложнение имеет большую значимость. Еще в 1977г было описано воздействие сильного электромагнитного поля на клетки крови. Установлено, что хотя эритроциты устойчивы к механическому воздействию, они особенно восприимчивы к электропорации, которая вызывает повреждение эритроцитов и последующее высвобождение гемоглобина в зависимости от выраженности воздействующего на них электрического поля [71][72]. В недавнем многоцентровом проспективном исследовании установлено, что лабораторные признаки гемолиза выявляются у большинства, перенесших процедуру электропорации: 94,3% vs 6,8% при РЧА и сопровождается снижением уровня гаптоглобина, значительно более высоким уровнем свободного гемоглобина в плазме крови, билирубина, лактатдегидрогеназы. При этом уровень креатинина был ассоциирован со скоростью клубочковой фильтрации пациента и значимо повышался (>5 ммоль/л) при величине <50 мл/мин; гемоглобинурия встречалась у 36,4% пациентов [73]. Важным является факт того, что всеми исследованиями отмечается прямая зависимость степени гемолиза и его влияния на функцию почек от количества нанесенных аппликаций. В ряде случаев это может привести к развитию острой почечной недостаточности и необходимости проведения гемодиализа. Также установлено, что острое повреждение почек чаще наблюдаются у пациентов пожилого возраста, с уже имеющейся хронической болезнью почек, артериальной гипертензией, сахарным диабетом, сниженной фракцией выброса левого желудочка и более выраженным гемолизом.
Заключение
Несмотря на значительный технологический прогресс в проведении аблации ФП за последние годы, зарегистрированные показатели осложнений и смертности остаются значимыми. Перечень осложнений варьируется в зависимости от методики лечения пациента. При детальном изучении отмечается тенденция к уменьшению числа возникающих осложнений с течением времени, что, вероятно, связано с увеличением количества проводимых операций и модификации техники проведения оперативного лечения.
Отношения и деятельность: все авторы заявляют об отсутствии потенциального конфликта интересов, требующего раскрытия в данной статье.
Чтобы читать статью войдите с логином и паролем от scardio.ru
Ключевые слова
Для цитирования
Немцов С.В., Лебедев Д.С. Осложнения катетерной аблации фибрилляции предсердий и способы их профилактики (обзор). Российский кардиологический журнал. 2025;30(4S):6728. https://doi.org/10.15829/1560-4071-2025-6728. EDN: RJZQCQ
Скопировать